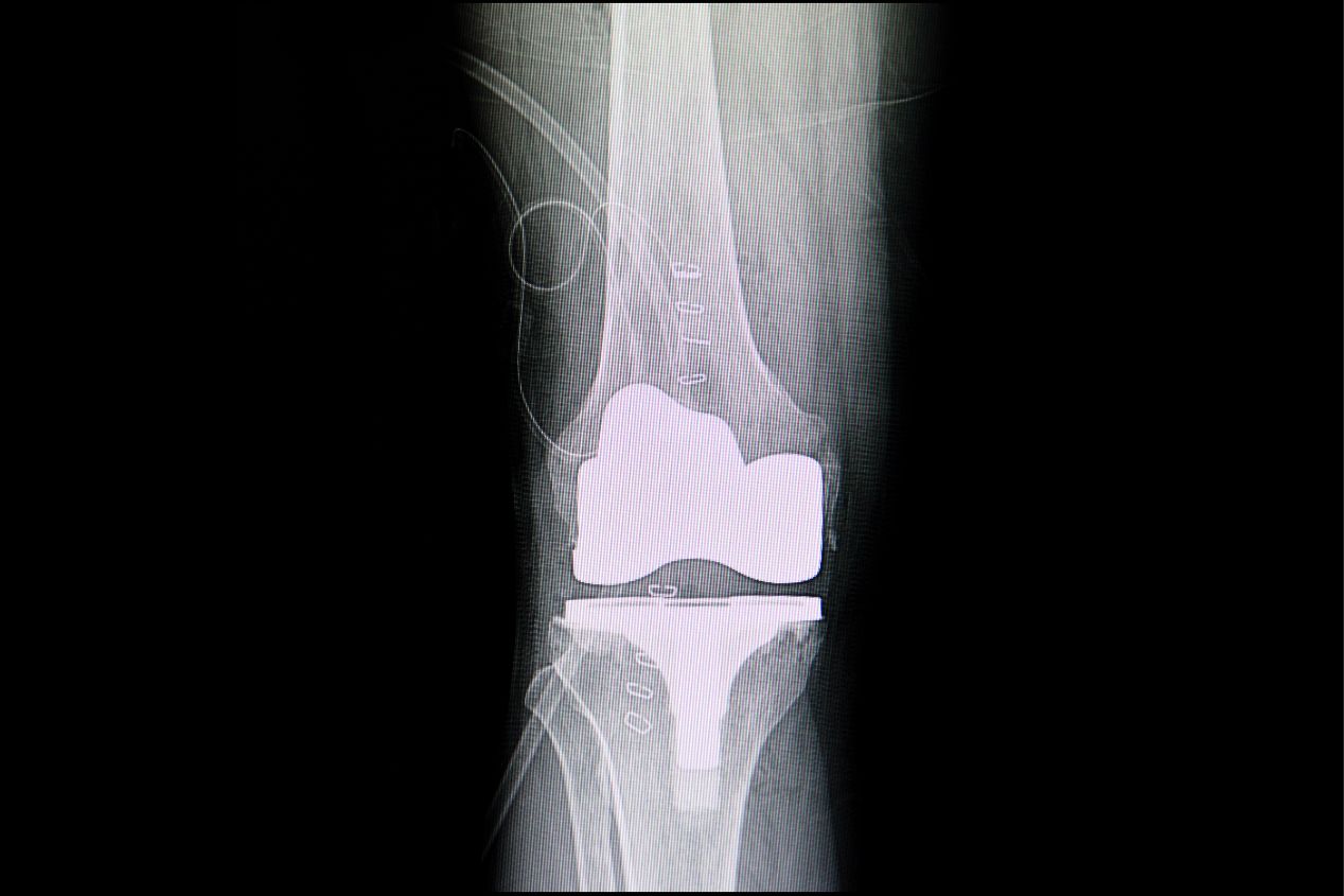
Πότε πρέπει να γίνει αρθροπλαστική γόνατος; Γιατί αξίζει να κάνει κανείς πραγματική ρομποτική αρθροπλαστική γόνατος;

Η αρθροπλαστική του γόνατος είναι μια χειρουργική επέμβαση που εκτελείται για την αντικατάσταση της φυσικής άρθρωσης  του γόνατος που έχουμε με μια τεχνητή  επιφάνεια άρθρωσης. Αυτή η νέα άρθρωση η οποία αποτελείται από υψηλής ποιότητας τιτάνιο εφαρμόζει απόλυτα στην υπάρχουσα αρθρική επιφάνεια. Πότε πρέπει να γίνει αρθροπλαστική γόνατος; Αδυναμία κίνησης: Όταν το γόνατο περιορίζει σημαντικά την κίνηση και την ελευθερία κινήσεων σας, προκαλώντας πόνο και δυσκολία στις καθημερινές δραστηριότητές. Πρέπει να αναφερθεί ότι η λογική η επέμβαση να γίνει όσο είναι δυνατόν σε μεγαλύτερη ηλικία λόγω περιορισμένου χρόνου ζωής των εμφυτευμάτων είναι παρωχημένη και δεν ισχύει για δύο λόγους.  Πρώτον η ζωή των εμφυτευμάτων έχει πολλαπλασιαστεί και δεύτερον δεν πρέπει να χάνει ο ασθενής τα όμορφα χρόνια της ζωής του με πόνο και δυσκινησία στην 5η 6η  7η΄ ή 8η  δεκαετία της ζωής του περιμένοντας την επέμβαση αλλαγής άρθρωσης.   Αν συμβαίνουν κάποιο από τα παρακάτω ζητήστε βοήθεια από εξειδικευμένο ορθοπαιδικό χειρουργό στις αρθροπλαστικές γόνατος ισχίου και να είναι ενημερωμένος και πιστοποιημένος  στις σύγχρονες τεχνολογίες.   Σοβαρός πόνος: Αν το γόνατο σας προκαλεί συνεχή, σοβαρό περιοριστικό πόνο που δεν αντιμετωπίζεται αποτελεσματικά με φαρμακευτική θεραπεία ή φυσικοθεραπεία. Σημαντική απώλεια λειτουργίας: Αν το γόνατο σας έχει υποστεί σημαντική απώλεια λειτουργίας, που επηρεάζει την ικανότητά σας να περπατάτε, να ανεβαίνετε σκάλες, ή να ασκείστε βασικές καθημερινές δραστηριότητες. Σοβαρή βλάβη στον χόνδρο ή παραμόρφωση.  Η απώλεια χόνδρου ή η σοβαρή φθορά στον χόνδρο στο γόνατο λόγω τραυματισμού ή αρθρίτιδας και παρουσιάζει παραμόρφωση όπως να είναι στραβό και να μην ανοίγει  πλήρως. Αποτυχία άλλων θεραπευτικών μεθόδων: Εάν άλλες μη χειρουργικές θεραπείες όπως φαρμακευτική αγωγή, φυσικοθεραπεία και απώλεια βάρους δεν έχουν δώσει αποτελέσματα και τα προβλήματα στο γόνατο συνεχίζουν να υφίστανται. Εάν ο πόνος ή ο περιορισμός κινητικότητας έχουν αρχίσει να επηρεάζουν αρνητικά την ψυχική κατάσταση και ο ασθενής έχει την τάση να αποσύρεται από δραστηριότητες που άλλοτε έκανε.   Η απόφαση για αρθροπλαστική γόνατος πρέπει να ληφθεί σε συνεννόηση με έναν εξειδικευμένο στις αρθροπλαστικές ορθοπεδικό χειρουργό πιστοποιημένο στην ρομποτική αν είναι δυνατόν ο οποίος θα αξιολογήσει την κατάσταση του γόνατος σας και θα σας συμβουλέψει σχετικά με τα οφέλη της επέμβασης. Η αρθροπλαστική γόνατος μπορεί να βελτιώσει σημαντικά την ποιότητα ζωής σας εάν υπάρχουν κατάλληλες ενδείξεις για αυτήν τη χειρουργική επέμβαση.   Γιατί αξίζει να γίνει ρομποτικά η αρθροπλαστική γόνατος:  Σε αυτήν την απόλυτη εφαρμογή παίζει ιδιαίτερα σημαντικό ρόλο η ρομποτική τεχνολογία στην αρθροπλαστική γόνατος. Η ρομποτική τεχνολογία βοηθάει τον χειρουργό να επιτύχει ένα πραγματικά άριστο αποτέλεσμα σε τρία στάδια.   Εξαιρετικά ακριβές πλάνο με βάση την εξατομικευμένη ανατομία με την χρήση ειδικής αξονικής τομογραφίας που γίνεται με τομές 0,6 χιλιοστών. Εικονική επιπροβολή εκθεμάτων (virtual implant superimpose). Αυτή η δυνατότητα υπάρχει μόνο στη ρομποτική τεχνολογία MAKO Stryker  που άλλωστε είναι και η μόνη καταξιωμένη υπάρχουσα ρομποτική μέθοδος. Αυτή η δυνατότητα επιτρέπει στον εξειδικευμένο πιστοποιημένο ορθοπαιδικό χειρουργό να δει συγχρόνως την ανατομία του ασθενούς με μεγάλη λεπτομέρεια σε συνδυασμό με τα εμφυτεύματα τιτανίου.  Με αυτόν το τρόπο μπορούμε να βρούμε το ένα και μοναδικό σημείο άριστης τοποθέτησης. Κατά τη διάρκεια της επέμβασης ο πιστοποιημένος εξειδικευμένος ρομποτικός ορθοπαιδικός χειρουργός βλέποντας τις δυναμικές συνθήκες ισορροπίας  στο γόνατο μπορεί να αλλάξει τα στοιχεία της προετοιμασίας της νέας άρθρωσης κατά κλάσμα του χιλιοστού για να επιτύχει ένα πραγματικά άριστο αποτέλεσμα. Μετά το τέλος τοποθέτησης των εμφυτευμάτων καταγράφουμε τα δυναμικά στοιχεία του γόνατος όπως ραιβότητα βλαισότητα σύγκαμψη και υπερέκταση ούτως  ώστε να δούμε αν πραγματικά έχουμε επιτύχει αυτό πού έχουμε σχεδιάσει. Πιστοποίηση από την εταιρεία ρομποτικής των ΗΠΑ ότι όντως έχει γίνει ρομποτική επέμβαση μαζί με πρόσβαση του ασθενούς στις μηχανικές ιδιότητες του γόνατος ή του ισχίου πριν και μετά την επέμβαση.   Είναι πλέον βέβαιο ότι τα αποτελέσματα της ρομποτικής αρθροπλαστικής στο γόνατο και στο ισχίο είναι ασύγκριτα καλύτερα.  1200 κορυφαία νοσοκομεία των ΗΠΑ μεταξύ των οποίων το Hospital for Special Surgery  (HSS)  Η Mayo Clinic το Mass General  έχουν και χρησιμοποιούν το μοναδικό στο είδος του σύστημα Robotic Arm Assisted Stryker. Είναι πολύ σημαντικό να γνωρίζουμε ότι υπάρχει η δυνατότητα σε 2 νοσοκομεία της Αθήνας να έχει κάποιος το ίδιο ακριβώς αποτέλεσμα σαν να είχε πάει στα καλύτερα νοσοκομεία του κόσμου.

Η σημασία της γρήγορης χειρουργικής αντιμετώπισης καταγμάτων ισχίου

Η γρήγορη χειρουργική αντιμετώπιση καταγμάτων ισχίου αποτελεί κρίσιμη παρέμβαση που μπορεί να σώσει ζωές και να βελτιώσει σημαντικά την ποιότητα ζωής των ασθενών. Τα κατάγματα ισχίου αποτελούν μια σοβαρή κατάσταση που αφορά κυρίως τους ηλικιωμένους ανθρώπους, αλλά μπορεί να επηρεάσει και άλλες ηλικιακές ομάδες. Η σωστή και γρήγορη αντιμετώπιση αυτών των καταγμάτων είναι απαραίτητη για πολλούς λόγους.   Μείωση του κινδύνου επιπλοκών: Τα κατάγματα ισχίου μπορεί να οδηγήσουν σε σοβαρές επιπλοκές, όπως λοίμωξη, θρόμβωση, πνευμονία και εμβολή. Η γρήγορη χειρουργική αντιμετώπιση μειώνει αυτούς τους κινδύνους και βελτιώνει τις προοπτικές ανάρρωσης Γρήγορη επάνοδο στην όρθια θέση και βάδιση.  Οι ασθενείς που υποβάλλονται σε γρήγορη χειρουργική αντιμετώπιση καταγμάτων ισχίου μπορούν να ανακτήσουν την ανεξαρτησία τους πολύ γρηγορότερα. Αυτό συμβάλλει στην αποφυγή μακροχρόνιων αναπηριών και επαναφέρει την κινητικότητα και την ποιότητα ζωής τους. Οικονομικά οφέλη: Η γρήγορη αντιμετώπιση καταγμάτων ισχίου μειώνει τον χρόνο νοσηλείας και την ανάγκη για μακροχρόνια φροντίδα. Αυτό μειώνει το οικονομικό βάρος τόσο για τον ασθενή  για τον υγειονομικό φορέα και ολόκληρη την κοινωνία. Προσωπική ανεξαρτησία: Η γρήγορη αντιμετώπιση επιτρέπει στους ασθενείς να διατηρήσουν την ανεξαρτησία τους, να συνεχίσουν τις καθημερινές δραστηριότητές τους και να ζήσουν μια πιο πλήρη ζωή. Ψυχολογική ευεξία: Η γρήγορη αντιμετώπιση βοηθά στη μείωση του ψυχολογικού τραύματος που προκαλείται από τον τραυματισμό. Οι ασθενείς που αναρρώνουν ταχύτερα έχουν συνήθως λιγότερο άγχος και καλύτερη ψυχολογική ευεξία.   Συνολικά, η γρήγορη χειρουργική αντιμετώπιση καταγμάτων ισχίου είναι ζωτικής σημασίας για την ασφάλεια, την ανεξαρτησία και την ποιότητα ζωής των ασθενών. Οι ασθενείς, οι οικογένειές τους και οι υγειονομικοί φορείς πρέπει να ενισχύουν την ευαισθητοποίηση και την πρόσβαση σε γρήγορες και αποτελεσματικές υπηρεσίες αντιμετώπισης τέτοιων καταγμάτων, προκειμένου να εξασφαλίσουν την καλύτερη δυνατή φροντίδα για τους ασθενείς.

Σύνδρομο υπακρωμιακής προστριβής – Shoulder Impingement

Τι είναι το σύνδρομο υπακρωμιακής προστριβής ώμου; Το σύνδρομο  υπακρωμιακής προστριβής του ώμου είναι μια πολύ συχνή  παθολογία του  ώμου, που μπορεί να προκαλέσει πόνο, δυσκολία στην κίνηση και άλλα συμπτώματα που περιορίζουν την καθημερινή ζωή των ατόμων που την υφίστανται. Η υπακρωμιακή προστριβή συμβαίνει όταν ο υπακρωμιακός χώρος, που αποτελεί το διάστημα μεταξύ του ακρωμίου  οστού του ώμου  και του τένοντα του υπερακανθίου που βρίσκεται ακριβώς  στενεύει ή ερεθίζεται. Αυτό μπορεί να οδηγήσει σε φλεγμονή και πόνο.   Οι παράγοντες που μπορούν να συμβάλουν στην ανάπτυξη της συνδρομής υπακρωμιακής προστριβής περιλαμβάνουν υπερβολική χρήση του ώμου, τραυματισμούς ή  μη φυσιολογική ανάπτυξη ή διαμόρφωση του ακρωμίου και γενετικούς παράγοντες. Πώς γίνεται η διάγνωση υπακρωμιακής προστριβής; Η διάγνωση της υπακρωμιακής προστριβής γίνεται μέσω κλινικής εξέτασης, ακτινογραφιών και  μαγνητικής τομογραφίας. Η θεραπεία μπορεί να περιλαμβάνει αρχικά αντιφλεγμονώδη φάρμακα, φυσικοθεραπεία, αλλαγές στις καθημερινές συνήθειες για αποφυγή ερεθιστικών κινήσεων όπως μείωση της μεγάλης ανύψωσης του χεριού και σε ορισμένες περιπτώσεις που δεν βελτιώνονται τα συμπτώματα  αρθροσκοπική επέμβαση με κάμερα για διάνοιξη  του υπακρωμιακού χώρου. Το συνδρομο υπακρωμιακής προστριβής του ώμου είναι μια κατάσταση που μπορεί να προκαλέσει αναστάτωση στη ζωή ενός ατόμου λόγω του πόνου και των κινητικών δυσκολιών που προκαλούνται. Είναι πολύ σημαντικό να συζητήσετε με έναν εξειδικευμένο ιατρό ή  για την αξιολόγηση και τη θεραπεία της συνδρομής υπακρωμιακής προστριβής, προκειμένου να ανακτήσετε την κανονική κίνηση και την ποιότητα ζωής σας.

Η συμβολή της άρθρωσης του ισχίου και του γόνατος στη σωστή βάδιση

Ο άνθρωπος όχι μόνο στηρίζεται όρθιος σε δύο πόδια αλλά εκτελεί περίπλοκες κινήσεις στην όρθια θέση όπως χορό τρέξιμο άλματα ακόμα και στήριξη με το ένα πόδι. Η απώλεια της δυνατότητας ορθοστάτησης και βάδισης οδηγεί τον άνθρωπο σε σημαντική αναπηρία. Το ισχίο και το γόνατο είναι δύο από τις σημαντικότερες αρθρώσεις του ανθρώπινου σώματος, και η σωστή λειτουργία τους είναι απαραίτητη για τη διατήρηση της κινητικότητας, της σταθερότητας και της γενικής υγείας. Η σωστή βάδιση είναι ένας παράγοντας που επηρεάζει αποφασιστικά τη λειτουργία αυτών των δύο αρθρώσεων και, κατ’ επέκταση, τη γενική μας καθημερινή δραστηριότητα.   Το ισχίο αποτελεί μια από τις μεγαλύτερες αρθρώσεις του σώματος και είναι υπεύθυνο για τη μεγάλη κινητικότητα του κάτω άκρου. Παίζει σημαντικό ρόλο σε σχεδόν κάθε κίνηση που κάνουμε, από το περπάτημα μέχρι το τρέξιμο και τον χορό. Η κακή βάδιση μπορεί να οδηγήσει μετά από χρόνια σε προβλήματα στο ισχίο, όπως οστεοαρθρίτιδα, αλλά και σε προβλήματα στον αυχένα και την πλάτη λόγω της ανεπαρκούς υποστήριξης.   Επίσης, το γόνατο αποτελεί μια άρθρωση που διαδραματίζει καίριο ρόλο στην κινητικότητα μας. Το γόνατο είναι σημαντικό για το περπάτημα, το τρέξιμο, την ανόρθωση και το κάθισμα. Το σημαντικά επιβαρυμένο σωματικό βάρος, Τα πολύ βαθιά καθίσματα πάνω στο γόνατο, οι ακραίες στροφές με κάμψη στο γόνατο μπορούν να προκαλέσουν σημαντική φθορά και αρθρίτιδα του γόνατος.   Η σωστή βάδιση είναι, συνεπώς, ζωτικής σημασίας για τη συντήρηση της υγείας του ισχίου και του γονάτου. Κατά τη βάδιση, η φόρτιση πρέπει να κατανέμεται ομοιόμορφα σε αυτές τις αρθρώσεις, ώστε να αποφεύγονται τραυματισμοί και φθορές. Επίσης, η σωστή τεχνική βάδισης περιλαμβάνει τη σωστή στήριξη των ποδιών στο έδαφος, την κίνηση των χεριών και τη διατήρηση της σταθερότητας του κέντρου βάρους χωρίς μεγάλες κλίσης του σώματος προς τα εμπρός ή στο πλάι.   Η άσκηση, η ενίσχυση των μυών που υποστηρίζουν το ισχίο και το γόνατο, καθώς και η επιλογή κατάλληλων παπουτσιών είναι σημαντικοί παράγοντες που μπορούν να βοηθήσουν στη διατήρηση της σωστής βάδισης. Επιπλέον, η επίσκεψη σε ειδικούς, όπως φυσιοθεραπευτές και ορθοπεδικούς, μπορεί να παράσχει συμβουλές και ασκήσεις προσαρμοσμένες στις ανάγκες του καθενός.   Συνοψίζοντας, η σωστή βάδιση αποτελεί τον πυλώνα για τη συντήρηση της υγείας του ισχίου και του γονάτου. Η επίτευξη της σωστής τεχνικής βάδισης απαιτεί ενδελεχή προσοχή στις λεπτομέρειες και την υιοθέτηση υγιεινών συνηθειών. Μέσα από αυτήν την προσπάθεια, μπορούμε να διατηρήσουμε την κινητικότητά μας και να αποφύγουμε πολλά από τα προβλήματα που σχετίζονται με το ισχίο και το γόνατο.

Αποκατάσταση μετά από κάταγμα ισχίου

Ποια η διαδικασία αποκατάστασης μετά από κάταγμα ισχίου; Η αποκατάσταση μετά από κάταγμα ισχίου είναι ένα πολύ σημαντικό και πολύπλοκο θέμα που απαιτεί προσεκτική παρακολούθηση από ιατρούς φυσιοθεραπευτές και γυμναστές Τα στάδια της αποκατάστασης θα εξαρτηθούν από τον τύπο του κατάγματος, την ηλικία, τη γενική κατάσταση του ασθενούς και άλλους παράγοντες. Είναι σημαντικό να ακολουθήσετε τις οδηγίες του γιατρού σας και να συνεργαστείτε με έναν φυσιοθεραπευτή για να αποκαταστήσετε τη δύναμη, την κινητικότητα και τη λειτουργία του ισχίου σας. Οι γενικές αρχές της αποκατάστασης μετά από κάταγμα ισχίου περιλαμβάνουν: Χειρουργική επέμβαση ή συντηρητική αγωγή: Ανάλογα με την έκταση του κατάγματος, μπορεί να απαιτηθεί χειρουργική επέμβαση ή συντηρητική αγωγή, όπως η απλή ανάπαυση ή η χρήση αναπηρικού καροτσιού. Η χειρουργική επέμβαση είναι απαραίτητη στο 95% των περιπτώσεων καταγμάτων ισχίου. Φυσικοθεραπεία: Η φυσικοθεραπεία είναι σημαντική για τη βελτίωση της κινητικότητας, της δύναμης και της ισορροπίας του ισχίου. Ο φυσιοθεραπευτής θα εργαστεί μαζί σας για να αναπτύξετε προσαρμοσμένο πρόγραμμα άσκησης. Καλή διατροφή και συμπληρώματα: Η κατάλληλη διατροφή είναι σημαντική για την αποκατάσταση των καταγμάτων. Ο γιατρός σας μπορεί να προτείνει συμπληρώματα ασβεστίου πρωτεϊνικών συμπληρωμάτων και βιταμίνης D για την υγεία των οστών. Παρακολούθηση από τον γιατρό: Ο γιατρός σας θα σας παρακολουθεί τακτικά για να εξασφαλίσει ότι η αποκατάσταση προχωρά καλά και ότι δεν υπάρχουν επιπλοκές. Η παρακολούθηση μπορεί να γίνεται και από τον οικογενειακό ιατρό ή γενικό ιατρό ο οποίος μπορεί να επικοινωνεί με τον ορθοπαιδικό χειρουργό και τον φυσιοθεραπευτή. Είναι σημαντικό να έχετε υπομονή κατά τη διάρκεια της αποκατάστασης, καθώς αυτή μπορεί να διαρκέσει πολλούς μήνες. Ακολουθώντας τις συμβουλές του γιατρού και του φυσιοθεραπευτή, μπορείτε να επανακτήσετε την κινητικότητα και τη λειτουργία του ισχίου σας. Πρέπει μέσα στους θεραπευτικούς μας στόχους πρέπει να βρίσκονται η βελτίωση της ποιότητας των οστών και η βελτίωση του μυικού συστήματος καθότι η οστεοπόρωση είναι προϋπόθεση για να μπορούν να συμβούν αυτά τα κατάγματα. Επίσης, αν η μειωμένη όραση η μειωμένη ακοή και η μειωμένη αίσθηση ισορροπίας αν συνετέλεσαν στην πτώση και το κάταγμα ισχίου πρέπει να γίνει προσπάθεια να αποκατασταθούν.

Πόνος στο ισχίο

Τι είναι ο πόνος στο ισχίο; Ο πόνος στο ισχίο είναι μια εξουθενωτική κατάσταση που μπορεί να επηρεάσει άτομα όλων των ηλικιών. Είναι σημαντικό να αντιμετωπίζεται άμεσα καθώς η το ισχίο συμβάλλει σε απλές καθημερινές δραστηριότητες όπως το περπάτημα.   Αιτίες του πόνου στο ισχίο Ο πόνος στο ισχίο μπορεί να προκληθεί από διάφορους παράγοντες, όπως:   Οστεοαρθρίτιδα Η οστεοαρθρίτιδα είναι μια εκφυλιστική ασθένεια των αρθρώσεων που επηρεάζει τον χόνδρο στην άρθρωση του ισχίου. Η πάθηση μπορεί να προκαλέσει πόνο, δυσκαμψία και πρήξιμο του ισχίου.   Ρευματοειδής αρθρίτιδα Η ρευματοειδής αρθρίτιδα είναι μια αυτοάνοση ασθένεια που μπορεί να προκαλέσει φλεγμονή και πόνο στην άρθρωση του ισχίου.   Θυλακίτιδα Η θυλακίτιδα είναι μια πάθηση που προκαλεί φλεγμονή στους θύλακες, οι οποίοι είναι μικροί σάκοι γεμάτοι με υγρό που μαλακώνουν την άρθρωση του ισχίου.   Τενοντίτιδα Η τενοντίτιδα είναι μια πάθηση που προκαλεί φλεγμονή στους τένοντες που συνδέονται με την άρθρωση του ισχίου.   Κάταγμα ισχίου Το κάταγμα ισχίου είναι ένα σπάσιμο των οστών που αποτελούν την άρθρωση του ισχίου. Αυτός ο τύπος τραυματισμού μπορεί να προκαλέσει έντονο πόνο και απαιτεί άμεση ιατρική φροντίδα.   Ρήξη επιχείλιου χόνδρου Η ρήξηεπιχείλιου χόνδρου είναι μια ρήξη στο χόνδρο που περιβάλλει την άρθρωση του ισχίου. Αυτός ο τύπος τραυματισμού μπορεί να προκαλέσει πόνο, δυσκαμψία και μειωμένο εύρος κίνησης στην άρθρωση του ισχίου.   Δυσπλασία του ισχίου Η δυσπλασία του ισχίου είναι μια κατάσταση που εμφανίζεται όταν η άρθρωση του ισχίου δεν αναπτύσσεται σωστά. Αυτό μπορεί να προκαλέσει πόνο και δυσφορία στην άρθρωση του ισχίου.   Θεραπεία του πόνου στο ισχίο Η θεραπεία του πόνου στο ισχίο εξαρτάται από την αιτία του πόνου. Οι συνήθεις θεραπευτικές επιλογές μπορεί να περιλαμβάνουν:   Ξεκούραση και πάγος Η ανάπαυση της άρθρωσης του ισχίου και η εφαρμογή πάγου στην πληγείσα περιοχή μπορεί να βοηθήσει στη μείωση του πόνου και της φλεγμονής.   Φυσικοθεραπεία Η φυσικοθεραπεία μπορεί να βοηθήσει στη βελτίωση της δύναμης και της ευελιξίας της άρθρωσης του ισχίου και στην ανακούφιση του πόνου.   Φάρμακα Τα φάρμακα κατά του πόνου που χορηγούνται χωρίς συνταγή, όπως η ακεταμινοφαίνη και η ιβουπροφαίνη, μπορούν να βοηθήσουν στην ανακούφιση από τον πόνο και στη μείωση της φλεγμονής στην άρθρωση του ισχίου.   Ενέσεις Οι ενέσεις κορτικοστεροειδών μπορούν να χρησιμοποιηθούν για τη μείωση της φλεγμονής στην άρθρωση του ισχίου και την ανακούφιση του πόνου.   Χειρουργική επέμβαση Σε ορισμένες περιπτώσεις, μπορεί να χρειαστεί χειρουργική επέμβαση για την αντιμετώπιση του πόνου στο ισχίο. Για παράδειγμα, η ολική αρθροπλαστική ισχίου μπορεί να είναι απαραίτητη για άτομα με σοβαρή οστεοαρθρίτιδα ή κάταγμα ισχίου.   Πρόληψη του πόνου στο ισχίο Υπάρχουν διάφορα πράγματα που μπορείτε να κάνετε για να βοηθήσετε στην πρόληψη του πόνου στο ισχίο, όπως: Διατήρηση υγιούς βάρους Συμμετοχή σε τακτική άσκηση Να φοράτε άνετα, υποστηρικτικά παπούτσια Προσοχή κατά την ανύψωση βαρέων αντικειμένων Να κάνετε διαλείμματα και να τεντώνεστε τακτικά αν εργάζεστε σε γραφείο   Συμπερασματικά, ο πόνος στο ισχίο μπορεί να προκληθεί από διάφορους παράγοντες και οι θεραπευτικές επιλογές θα εξαρτηθούν από την αιτία του πόνου. Εάν αντιμετωπίζετε πόνο στο ισχίο, είναι σημαντικό να επικοινωνήσετε με έναν  εξειδικευμένο ορθοπαιδικό χειρουργό όπως τον Δρ. Κ. Δρετάκη για να προσδιοριστεί η αιτία του πόνου και να καταρτιστεί ένα κατάλληλο σχέδιο θεραπείας. 

Ρομποτική Χειρουργική – Μάθετε τα πάντα – Συχνές Ερωτήσεις

Τι είναι ρομποτική χειρουργική; Ρομποτική χειρουργική ονομάζεται η χειρουργική κατά την οποία ο ορθοπεδικός χρησιμοποιεί ένα σύστημα με μηχανικούς βραχίονες και υπολογιστικό σύστημα ώστε να επιτύχει ένα χειρουργικό αποτέλεσμα εξαιρετικής ακρίβειας. Ποιο είναι το ρομποτικό σύστημα για την ορθοπαιδική και ποιες είναι οι εφαρμογές του; Το ρομποτικό σύστημα λέγεται ΜΑΚΟ  Stryker  USA και είναι μοναδικό στο είδος του. Οι δύο μοναδικές εφαρμογές έως τώρα είναι η ανακατασκευή ή αρθροπλαστική γόνατος που μπορεί να είναι μερική ή ολική και η αρθορπλαστική ισχίου.  Είναι σημαντικό ότι οι δύο παραπάνω αρθρώσεις είναι οι πιο σημαντικές για να περπατήσουμε. Η Χρήση του ρομπότ απαιτεί ειδική εξάσκηση από τον ιατρό ; Ναι χρειάζεται εκπαίδευση και πιστοποίηση.  Ο Κωνσταντίνος Δρετάκης  Διευθυντής της Β ορθοπαιδικής του Υγεία είναι διεθνής International Trainer ρομποτικής και έχει εκπαιδεύσει 240 ιατρούς σε όλον τον κόσμο.  Ποια είναι τα πλεονεκτήματα της ρομποτικής και ποια τα μειονεκτήματα; Τα πλεονεκτήματα είναι πολύ σημαντικά και είναι τα εξής:  Τεράστια αύξηση της ακρίβειας της επέμβασης.  Μείωση του τραυματισμού των μαλακών μορίων.  Ταχύτερη αποκατάσταση μικρότερη απώλεια αίματος και λιγότερη χρήση αναλγητικών.  Στις περιπτώσεις μερικής αντικατάστασης γόνατος μικρότερη τομή και λιγότερη ανάγκη αποκατάστασης.  Τέλος εξαιρετικός τρισδιάστατος σχεδιασμός προεγχειρητικά και μέτρηση της διόρθωσης τρισδιάστατα μετά την επέμβαση.  Το μειονέκτημα είναι μόνο ένα η μικρή οικονομική επιβάρυνση λόγω της υψηλής αξίας του ρομποτικού συστήματος.  Είναι σημαντικό να ξέρει κάποιος ότι σχεδόν όλες οι ιδιωτικές ασφαλιστικές εταιρείες καλύπτουν πλήρως την ρομποτική ορθοπαιδική καθώς έχουν πεισθεί απόλυτα από τα πολύ σημαντικά πλεονεκτήματα της μεθόδου. Πόσα ρομποτικά συστήματα ΜΑΚΟ υπάρχουν στον κόσμο και πόσα στην Ελλάδα; Yπάρχουν εγκατεστημένα πάνω από 1600 συστήματα και βρίσκονται στα καλύτερα νοσοκομεία του κόσμου όπως την Mayo Clinic το Cleveland Clinic το Hospital for Special Surgery ( HSS) το Mass General και πολλά άλλα και στην Ελλάδα υπάρχουν 3 συστήματα.  Υπάρχει ένα σύστημα στο νοσοκομείο Υγεία ένα στο νοσοκομείο Metropοlitan και ένα στην Θεσσαλονίκη. Υπάρχουν επιπλοκές στις επεμβάσεις που γίνονται με την ρομποτική τεχνολογία; Σε κάθε χειρουργική επέμβαση μπορεί να υπάρξουν επιπλοκές. Ο θεράπων ιατρός είναι υπεύθυνος να μας εξηγήσει τις πιθανές επιπλοκές και την πραγματική επίπτωση των επιπλοκών σύμφωνα με την βιβλιογραφία. Φυσικά όσο μεγαλύτερη η ακρίβεια στις χειρουργικές επεμβάσεις τόσο μικρότερη η πιθανότητα εμφάνισης επιπλοκών.  Πολλές φορές αναφέρονται ότι επεμβάσεις για αντιμετώπιση μηνίσκου ή επεμβάσεις για αντιμετώπιση καταγμάτων στο χέρι ή στο πόδι γίνονται με το ρομπότ. Είναι σωστό; Είναι απόλυτα λάθος. Όπως αναφέρθηκε οι μοναδικές εφαρμογές του ρομπότ είναι ανακατασκευή ή αρθροπλαστική γόνατος και ισχίου.  Οπουδήποτε αλλού αναφέρεται στην ορθοπαιδική χρήση του ρομπότ είναι αναληθές.

Ποια είναι τα πρώτα σημάδια της οστεοπόρωσης;

Στον σύγχρονο δυτικό κόσμο τα τελευταία 50 χρόνια το προσδόκιμο επιβίωσης (life expectancy) έχει ανέβει κατά 15 χρόνια τουλάχιστον. Η έκθεση του πληθυσμού σε μεγαλύτερη διάρκεια ζωής σε συνδυασμό με υποβάθμιση  της ποιότητας διατροφής και την ελάττωση της σωματικής δραστηριότητας οδηγούν σε σημαντική αύξηση της επίπτωσης της οστεοπόρωσης. Ο ορισμός της οστεοπόρωσης είναι ο εξής. Οστεοπόρωση είναι η κατάσταση κατά την οποία παρατηρείται  σημαντική επιβάρυνση των οστών και το αποτέλεσμα αυτής  είναι τα κατάγματα των οστών.  Σύμφωνα με τα πρόσφατα στοιχεία μία στις τρείς γυναίκες και ένας στους τέσσερεις άνδρες θα υποστούν ένα κάταγμα οστεοπόρωσης. Κατάγματα οστεοπόρωσης θεωρούνται όλα τα κατάγματα χαμηλής βίας δηλαδή τα κατάγματα που προκαλούνται από μια πτώση ή και σε πολλές περιπτώσεις χωρίς καμία προφανή αιτία.  Τα κατάγματα που προκύπτουν από τροχαία ατυχήματα από έντονες αθλητικές δραστηριότητες ή από πτώση από ύψος δεν θεωρούνται κατάγματα οστεοπόρωσης. Τα πιο συνηθισμένα κατάγματα οστεοπόρωσης είναι τα κατάγματα σπονδυλικής στήλης που οδηγούν σε μείωση του ύψους  κύφωση και απώλεια ισορροπίας τα κατάγματα ισχίου ή γοφού όπως λέγονται τα οποία έχουν υποχρεωτική ανάγκη άμεσης χειρουργικής επέμβασης και προκαλούν τεράστια επιβάρυνση στην συνολική υγεία του πάσχοντος και τέλος κατάγματα καρπού και ποδοκνημικής άρθρωσης. Η αντιμετώπιση των οστεοπορωτικών καταγμάτων πρέπει να γίνεται από εξειδικευμένη ιατρική ομάδα γιατί η θεραπευτική αντιμετώπιση δεν πρέπει να σταματάει στην χειρουργική αποκατάσταση καθώς η αντιμετώπιση του αιτίου του κατάγματος που είναι η οστεοπόρωση η θεραπεία είναι απολύτως επιβεβλημένη και επείγουσα. Τα πρώτα σημάδια της οστεοπόρωσης είναι επιδείνωση της στάσης του σώματος  μείωση του ύψους, μείωση της φυσικής δύναμης και αντοχής, παρουσία πόνου στην πλάτης και στην λεκάνη και τέλος ανεξήγητα κατάγματα. Η αλήθεια είναι ότι πρέπει να προλαμβάνουμε την οστεοπόρωση γιατί όταν εμφανίζονται τα συμπτώματα είναι ήδη αργά. Αυτό είναι ακόμα πιο σημαντικό στους άνδρες στους οποίους η οστεοπόρωση  ξεκινάει 15 χρόνια περίπου μετά από τις γυναίκες αλλά η βαρύτητα των καταγμάτων είναι πολύ μεγάλη και επίσης ο ανδρικός πληθυσμός συνήθως δεν είναι καθόλου ευαισθητοποιημένος για την επίπτωση και την σοβαρότητα των αποτελεσμάτων της οστεοπόρωσης.  Για την πρόληψη της εμφάνισης της οστεοπόρωσης και των σοβαρότατων συνεπειών της πρέπει να υπάρχει έλεγχος οστικής πυκνότητας στις γυναίκες μετά την εμμηνόπαυση για να υπάρχει ένα σημείο αναφοράς και σύγκρισης με μελλοντικές εξετάσεις.  Η μέτρηση της οστικής πυκνότητας γίνεται σε δύο σημεία.  Πρώτον στην οσφυϊκή μοίρα της σπονδυλικής στήλης όπως λέγεται στην μέση και δεύτερον στο άνω άκρο του μηριαίου ή όπως λέγεται στο ισχίο. Η αξία της μέτρηση στην οσφυϊκή μοίρα της σπονδυλικής στήλης είναι μεγαλύτερη στις νεότερες γυναίκες δηλαδή ηλικία έως 70 ετών ενώ η μέτρηση της οστικής πυκνότητας του ισχίου έχει μεγαλύτερη αξία για γυναίκες μεγαλύτερης ηλικίας καθώς η μέτρηση αυτή σχετίζεται καλύτερα με την πιθανότητα κατάγματος ισχίου.  Για τους άνδρες είναι σημαντικό να γίνεται μέτρηση μετά την ηλικία των 65 καθώς είναι χρήσιμο να χρησιμοποιηθεί για σύγκριση με μελλοντικές εξετάσεις.   Πέρα από τις εξετάσεις μέτρησης οστικής πυκνότητας ακόμα πιο σημαντική είναι η μέτρηση σημαντικών παραγόντων του οστικού μεταβολισμού σε εξετάσεις αίματος όπως είναι το ασβέστιο ο φώσφορος η βιταμίνη D η παραθορμόνη η αλκαλική φωσφατάση και άλλοι δείκτες οστικού μετααβολισμού. Η συνεισφορά του οικογενειακού ιατρού ή του γενικού ιατρού ή του παθολόγου στην ενημέρωση αλλά και στην παρατήρηση κάποιων συμπτωμάτων είναι εξαιρετικής σημασίας.  Πέρα από την προτροπή για έλεγχο στις προαναφερθείσες ηλικιακές ομάδες όλοι οι ασθενείς οποιασδήποτε ηλικίας που έχουν ανεξήγητα κατάγματα  οι ασθενείς που λαμβάνουν φάρμακα που επηρεάζουν τα οστά όπως η κορτιζόνη και οι ασθενείς που πάσχουν από συστηματικά νοσήματα που επιβαρύνουν τα οστά όπως για παράδειγμα η ρευματοειδής αρθρίτιδα ή η ελκώδης κολίτιτδα πρέπει να κάνουν πλήρη έλεγχο και να λαμβάνουν θεραπεία.